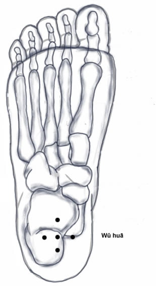
מיקום
5 נקודות:
הנקודה האמצעית נמצאת באמצע העקב ומקבילה לנקודת האקסטרה Shi Mian.
שתי נקודות 1 צון מעל ומתחת לנקודה האמצעית.
שתי נקודות 1 צון משני הצדדים של נקודה האמצעית.

שם נקודה
Wǔ 五 – חמש.
Huā 花 – פרח.
דיקור
0.3 – 0.2 צון לטיפול באינסומניה ונוראלגיה של המוח.
באינסומניה ניתן לעשות מוקסה בנקודות
הקזה או מוקסה להפרעות של העקב.
עצבוב
עצבים קרניאליים.
שילובים
אינסומניה מוקסה על Wu Hua, עם: Zhen Jing, Xin Ling, Tong Guan/ Shan /Tian , Xia San Huang



